Resonancia Magnética Funcional

En 1993, la fMRI (resonancia magnética funcional) se mencionaba menos de 20 veces en artículos publicados. Como nueva técnica, se desarrolló rápidamente, y en 2003 esa cifra era de unas 1800 (Berman et al. 2006). Introducidas por primera vez en la década de 1990, las exploraciones fMRI se utilizan para cartografiar el cerebro proporcionando neuroimágenes en 3D que muestran áreas de actividad. Entonces, ¿cómo funcionan las exploraciones fMRI? ¿Cómo proporcionan imágenes detalladas del cerebro y el cuerpo? ¿Y cómo obtenemos conocimiento de la función mediante el uso de máquinas de IRM?

Pruéablo tú mismo

Millones de tarjetas didácticas para ayudarte a sobresalir en tus estudios.

Regístrate gratis

Review generated flashcards

Regístrate gratis
Has alcanzado el límite diario de IA

Comienza a aprender o crea tus propias tarjetas de aprendizaje con IA

Tarjetas de estudio
Tarjetas de estudio
  • Contenido verificado
  • Última actualización: 01.01.1970
  • Tiempo de lectura: 11 min
  • Proceso de creación de contenido diseñado por
    Lily Hulatt Avatar
  • du contenu vérifiée par
    Gabriel Freitas Avatar
  • Calidad del contenido comprobada por
    Gabriel Freitas Avatar
Regístrate gratis para guardar, editar y crear tarjetas de memoria.
Guardar explicación Guardar explicación

Saltar a un capítulo clave

    • Vamos a explorar las máquinas de fMRI (resonancia magnética funcional).
    • En primer lugar, daremos una definición de resonancia magnética funcional.
    • A continuación, nos adentraremos en el mundo de las exploraciones fMRI, discutiendo diversos ejemplos y describiendo cómo funcionan las máquinas fMRI.
    • Hablaremos brevemente de las desactivaciones e hipoactivaciones en la resonancia magnética funcional.
    • Por último, ofreceremos una evaluación de las fMRI, analizando las ventajas e inconvenientes de la resonancia magnética funcional.

    Máquina de Resonancia Magnética Funcional fMRI StudySmarterFig. 1: Las fMRI son valiosas en medicina¹.

    Definición de resonancia magnética funcional

    Una máquina de resonancia magnética (RM ) utiliza campos magnéticos y ondas de radio para obtener una visión interna del cuerpo. Se coloca al paciente en una máquina en forma de tubo que utiliza electroimanes increíblemente potentes para explorar el cuerpo y el cerebro. Los resultados pueden ser utilizados por investigadores y profesionales médicos para comprender cualquier anomalía.

    ¿Qué es una RMf?

    La resonancia magnética funcional (RMf) es una forma de resonancia magnética capaz de identificar zonas funcionales mostrando las zonas activas del cerebro. Las RMf pueden hacerlo porque detectan cambios en las propiedades de la sangre, que se relacionan con zonas activas o hipoactivas del cerebro.

    ¿Cómo funciona la resonanciamagnética funcional?

    Laresonancia magnética funcional detecta cambios en la oxigenación de la sangre en el cerebro, cuyo flujo afecta a la actividad cerebral. Cuando una zona del cerebro está más activa porque el participante o paciente observado está haciendo algo, como trabajar en una tarea, o debido a un daño, el flujo sanguíneo cerebral aumentará o disminuirá en función de la demanda de oxígeno.

    Este proceso se denomina hiperactivación (más) o hipoactivación (menos). La hiperactivación puede detectarse en los escáneres de IRMf cuando las zonas del cerebro se resaltan en rojo y la hipoactivación se indica con zonas azules.

    La hemoglobina suministra oxígeno a las neuronas. Cuando estas neuronas se activan, el aumento de actividad debe equilibrarse proporcionando el oxígeno y el flujo sanguíneo necesarios para hacerlo posible, así como suministrando energía en forma de glucosa.

    ¡Las neuronas también necesitan energía!

    La sangre con mayor concentración de oxígeno se ve afectada de forma diferente por los campos magnéticos que la sangre con menor contenido de oxígeno. Un campo magnético fMRI puede detectar esto al escanear al participante o paciente. Esto se denomina señal o teoría BOLD (dependiente del nivel de oxigenación de la sangre) y es la principal responsable de cómo una fMRI identifica las áreas funcionales.

    A continuación, la RMNf traza un mapa de las zonas activadas mediante vóxeles (al crear una imagen tridimensional del cerebro, una unidad de vóxel representa una porción diminuta de tejido cerebral en la imagen), produciendo imágenes neuronales.

    Las zonas resaltadas son partes activas del cerebro.

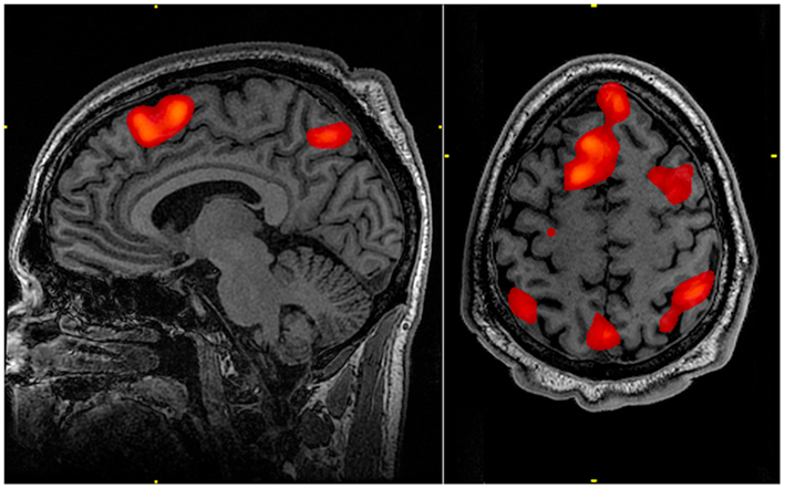
    Por ejemplo, ciertas zonas del cerebro aparecerán cuando una persona esté trabajando en una tarea de memoria.

    Resonancia Magnética Funcional fMRI escáner memoria de trabajo StudySmarterFig. 2: Un escáner fMRI durante tareas de memoria de trabajo revela zonas activas del cerebro.

    Curiosamente, un participante o paciente no debe hablar ni comunicarse de ninguna otra forma cuando piensa en una tarea o responde a una pregunta. Tienen que responderla internamente para evitar que el cerebro se active en otras áreas.

    Supongamos que el participante responde en voz alta a una pregunta sobre una tarea de memoria. En ese caso, el córtex motor (hacer que el cuerpo y los músculos hablen) y las áreas del lenguaje (áreas de Broca y Wernicke) podrían activarse y desactivarse, interfiriendo en los resultados.

    Si un participante está trabajando en una tarea de memoria, pero también se están "disparando " otras áreas cerebrales, sería casi imposible asignar con certeza una función a un área del cerebro.

    Además, al analizar los resultados, sería difícil identificar las zonas que sufren una pérdida funcional debido a un daño si otras partes del cerebro también se hiperactivan y desactivan durante una tarea.

    Ejemplos de fMRI en Psicología

    Un buen ejemplo del uso de la RMf en investigación es un estudio de Downing et al. (2001), en el que utilizaron la RMf para asignar una función a regiones cerebrales específicas

    • Existen pruebas de que las regiones del córtex visual humano responden específica y selectivamente a los rostros.
    • Downing et al. (2001) quisieron averiguar si esto también era cierto para otras regiones que responden a las imágenes del cuerpo humano y no sólo a las caras.
    • Descubrieron que, en efecto, las regiones corticales del cerebro responden selectivamente a las imágenes del cuerpo humano, en particular el córtex occipitotemporal lateral, y que existe un sistema neural especializado para la percepción visual del cuerpo humano.
    • ¡El uso de la IRMf hizo posibles todos estos descubrimientos!

    Del mismo modo, Haxby et al. (2001) estudiaron la arquitectura de la vía visual de los objetos en el cerebro mediante IRMf.

    • Midieron los patrones de la corteza temporal ventral mientras los sujetos miraban caras, gatos, imágenes sin sentido y objetos artificiales.
    • Encontraron respuestas de patrones distintos para cada categoría.
    • En general, descubrieron que las representaciones de caras y objetos en el córtex temporal ventral estaban ampliamente distribuidas y se solapaban.
    • Identificaron estas áreas funcionales gracias al uso de la IRMf.

    Al utilizar esta técnica de exploración cerebral para identificar posibles áreas funcionales, podemos afirmar que determinados comportamientos podrían deberse a estas áreas funcionales. Podemos suponer que una zona del cerebro que se "ilumina", por así decirlo, se correlaciona con las acciones y comportamientos del individuo, sobre todo si somos cuidadosos en nuestros experimentos de aislar estímulos específicos.

    Así, cuando alguien se enfrenta a estímulos visuales aterradores y se activan determinadas zonas del cerebro, como la amígdala, podemos ver que esa zona del cerebro está asociada a una respuesta concreta. La amígdala es donde comienza nuestra respuesta de lucha o huida. Con técnicas como ésta, podemos determinarlo en determinadas situaciones y atribuir un comportamiento de "lucha o huida" ¡a la amígdala!

    Evaluación por resonancia magnética funcional

    ¿Cuáles son las ventajas de la resonancia magnética funcional? ¿Y sus puntos débiles para estudiar el cerebro? Debemos examinar los distintos puntos fuertes y débiles de la RMf.

    Ventajas de la Resonancia Magnética Funcional

    En primer lugar, exploremos las ventajas de utilizar exploraciones de RMf.

    • No es invasiva: Una fMRI no implica introducir nada en el cerebro ni abrir la cabeza para ver el propio cerebro. Proporciona una visión del cerebro y sus actividades sin técnicas invasivas.

    • Prácticamente sin riesgos asociados: Dado que la RMf no requiere ninguna de las técnicas invasivas antes mencionadas, ya es más segura que éstas. Tampoco utiliza radiaciones, empleadas en otras técnicas de exploración cerebral como la PET (tomografía por emisión de positrones).

    • Ilustra claramente la localización: Las neuroimágenes muestran áreas claras de actividad relacionadas con la actividad del paciente o participante y son sólidas en estudios que se centran en examinar una función específica, limitando las variables de confusión.

    • Ayuda a preparar la cirugía: Si un paciente necesita someterse a una intervención quirúrgica, la IRMf es valiosa de antemano para mapear las zonas que necesitan atención, a fin de prepararse mejor y navegar con eficacia durante la cirugía.

    • Alta resolución espacial: Proporciona una imagen detallada y es extremadamente precisa.

    Desventajas de la Resonancia Magnética Funcional

    Examinemos ahora las desventajas de utilizar exploraciones de RMf.

    • Caro: El funcionamiento de una máquina de fMRI es bastante costoso, tanto en formación como en la propia máquina.

    • Requiere quietud: Un participante o paciente debe permanecer quieto mientras escanea en la máquina, lo que limita mucho el tipo de investigación con este método. No pueden moverse, responder adecuadamente ni realizar tareas que requieran movimiento, ya que esto comprometería los resultados o imposibilitaría por completo la exploración.

    • Elflujo sanguíneo es difícil de interpretar: Como la RMf sólo detecta cambios en el flujo sanguíneo, sólo puede decirte si una zona está activa o no. No te dice por qué se activa la neurona en cuestión, ni te dice nada más allá de los cambios en el flujo sanguíneo. La neurona en sí puede activarse por varias razones, con distintas funciones diminutas controladas por la función primaria. Por tanto, es imposible determinar la causa y el efecto.

    • Algunas zonas también se iluminan por múltiples razones. Ciertas zonas del cerebro son responsables de reacciones que pueden ser opuestas, sobre todo cuando se trata de respuestas emocionales.

    • Baja resolución temporal: Hay un ligero retraso, normalmente de unos cinco segundos, antes de que se detecten los cambios en el flujo sanguíneo y los niveles de actividad dentro de una neurona, por lo que la RMf tiene una resolución temporal deficiente.


    Resonancia magnética funcional - Aspectos clave

    • La fMRI (resonancia magnética funcional) es una técnica de neuroimagen utilizada para cartografiar el cerebro.
    • Detecta los cambios en el flujo sanguíneo que se producen cuando el cerebro está realizando una tarea y puede utilizar un campo magnético para crear una imagen tridimensional del cerebro con las zonas de actividad resaltadas.
    • La hemoglobina se encarga de transportar oxígeno a las neuronas del cerebro, que necesitan un mayor flujo sanguíneo durante la actividad. La fMRI detecta estos cambios (señaldependiente del nivel de oxigenación de la sangre ), y podemos inferir la función basándonos en el aumento de la activación en el cerebro.
    • La fMRI no es invasiva, prácticamente no entraña riesgos y tiene una gran resolución espacial. Es una gran ayuda para encontrar zonas localizadas de función.
    • Sin embargo, tiene una resolución temporal baja, es bastante cara y requiere que el paciente permanezca inmóvil para obtener una imagen precisa. Este aspecto limita mucho los tipos de investigación para los que la RMf puede proporcionar resultados.

    Referencias

    1. Fig. 1: Máquina de RMf por Thomas Angus, Imperial College London, CC BY-SA 4.0 https://creativecommons.org/licenses/by-sa/4.0, vía Wikimedia Commons

    Preguntas frecuentes sobre Resonancia Magnética Funcional

    ¿Qué es la Resonancia Magnética Funcional en Psicología?
    La Resonancia Magnética Funcional en Psicología es una técnica de neuroimagen que permite estudiar la actividad cerebral mientras se realiza una tarea cognitiva o emocional, proporcionando información sobre las áreas cerebrales involucradas.
    ¿Para qué se utiliza la Resonancia Magnética Funcional en Psicología?
    Se utiliza para investigar las bases neuronales de procesos cognitivos, emocionales y conductuales, identificar anomalías cerebrales, evaluar el impacto de intervenciones terapéuticas y aumentar la comprensión del cerebro y la mente en diferentes trastornos.
    ¿Es segura la Resonancia Magnética Funcional?
    Sí, es segura ya que no utiliza radiación ionizante, a diferencia de otras técnicas de neuroimagen como la Tomografía Computarizada. Aun así, hay algunas contraindicaciones, como la presencia de dispositivos metálicos o marcapasos.
    ¿Cuál es la diferencia entre Resonancia Magnética Funcional y Resonancia Magnética Estructural?
    La Resonancia Magnética Funcional muestra la actividad cerebral en tiempo real, mientras que la Resonancia Magnética Estructural proporciona imágenes estáticas de la anatomía del cerebro, como su forma y volumen, sin información sobre la actividad neuronal.
    Guardar explicación
    Pon a prueba tus conocimientos con tarjetas de opción múltiple

    ¿Cuál de las siguientes opciones es correcta?

    La IRMf se introdujo por primera vez en ____.

    Las IRMf producen imágenes ___ del cerebro.

    Siguiente

    ¿Cómo te aseguras de que tu contenido sea preciso y confiable?

    En StudySmarter, has creado una plataforma de aprendizaje que atiende a millones de estudiantes. Conoce a las personas que trabajan arduamente para ofrecer contenido basado en hechos y garantizar que esté verificado.

    Proceso de creación de contenido:
    Lily Hulatt Avatar
    Lily Hulatt

    Especialista en Contenido Digital

    Lily Hulatt es una especialista en contenido digital con más de tres años de experiencia en estrategia de contenido y diseño curricular. Obtuvo su doctorado en Literatura Inglesa en la Universidad de Durham en 2022, enseñó en el Departamento de Estudios Ingleses de la Universidad de Durham y ha contribuido a varias publicaciones. Lily se especializa en Literatura Inglesa, Lengua Inglesa, Historia y Filosofía.

    Conoce a Lily
    Control de calidad del contenido:
    Gabriel Freitas Avatar
    Gabriel Freitas

    Ingeniero en Inteligencia Artificial

    Gabriel Freitas es un ingeniero en inteligencia artificial con una sólida experiencia en desarrollo de software, algoritmos de aprendizaje automático e IA generativa, incluidas aplicaciones de grandes modelos de lenguaje (LLM). Graduado en Ingeniería Eléctrica de la Universidad de São Paulo, actualmente cursa una maestría en Ingeniería Informática en la Universidad de Campinas, especializándose en temas de aprendizaje automático. Gabriel tiene una sólida formación en ingeniería de software y ha trabajado en proyectos que involucran visión por computadora, IA integrada y aplicaciones LLM.

    Conoce a Gabriel Gabriel
    Descubre materiales de aprendizaje con la aplicación gratuita StudySmarter
    Regístrate gratis
    1

    Acerca de StudySmarter

    StudySmarter es una compañía de tecnología educativa reconocida a nivel mundial, que ofrece una plataforma de aprendizaje integral diseñada para estudiantes de todas las edades y niveles educativos. Nuestra plataforma proporciona apoyo en el aprendizaje para una amplia gama de asignaturas, incluidas las STEM, Ciencias Sociales e Idiomas, y también ayuda a los estudiantes a dominar con éxito diversos exámenes y pruebas en todo el mundo, como GCSE, A Level, SAT, ACT, Abitur y más. Ofrecemos una extensa biblioteca de materiales de aprendizaje, incluidas tarjetas didácticas interactivas, soluciones completas de libros de texto y explicaciones detalladas. La tecnología avanzada y las herramientas que proporcionamos ayudan a los estudiantes a crear sus propios materiales de aprendizaje. El contenido de StudySmarter no solo es verificado por expertos, sino que también se actualiza regularmente para garantizar su precisión y relevancia.

    Aprende más
    Equipo editorial StudySmarter

    Equipo de profesores de Psicología

    • Tiempo de lectura de 11 minutos
    • Revisado por el equipo editorial de StudySmarter
    Guardar explicación Guardar explicación
    Guardar explicación
    Sign-up for free

    Regístrate para poder subrayar y tomar apuntes. Es 100% gratis.